La réussite d'un traitement

Bien entretenir vos aligneurs

Bien entretenir vos aligneurs

ENTRETIEN QUOTIDIEN

Cet appareil est un objet important qu’il faut traiter avec soin.
> En aucun cas vous ne devez utiliser de l’eau chaude ou le faire...

Conditions de réussite d'un traitement orthodontique

Conditions de réussite d'un traitement orthodontique

Le succès d’un traitement d’orthodontie dépend du diagnostic et des soins prodigués, mais également de votre coopération.

Orthodontie et hygiène bucco-dentaire

Orthodontie et hygiène bucco-dentaire

Quel que soit le type d’appareil (amovible ou fixe), les bons gestes d’hygiène bucco-dentaire sont un gage de réussite de votre traitement.

La période de contention orthodontique

La période de contention orthodontique

La contention permet de stabiliser les résultats de votre traitement et de conserver un bel alignement des dents.

L’application dental monitoring®

L’application dental monitoring®

La solution DentalMonitoring® permet de suivre à distance l’évolution d’un traitement orthodontique avec une application personnalisée sur mobile.

Traitement orthodontique : les règles du succès

Traitement orthodontique : les règles du succès

Contention de Hawley

Contention de Hawley

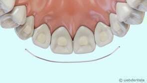
Fil de contention

Fil de contention

Nettoyage des brackets avec brossette interdentaire

Nettoyage des brackets avec brossette interdentaire

9 articles